喪失した歯を補う方法としては、『入れ歯・インプラント・ブリッジ』の3種の方法がありますが、それぞれに特性があります。歯を欠損したまま放置してしまうと咀嚼効率が落ち、周辺の歯の移動が起き、場合によっては顎関節に悪影響が出てしまうので、基本的に何かしらの補填処置をしなければいけません。
3種類の治療法の特性を踏まえ、一人一人に適した治療を行えるよう考えております。
-
入れ歯
欠損部の周囲の歯に維持装置を付けて、取り外し式の装置を入れる治療方法です。
(総入れ歯の場合は維持装置はありません)
-
インプラント
歯のない部分に人口の歯根を埋入する治療方法です。
-
ブリッジ
歯のない部分と周辺の歯を連結して橋渡しすることによって、補填する治療方法
です。
| メリット | ディメリット | |
|---|---|---|
| 入れ歯 |
|
|
| インプラント |
|
|
| ブリッジ |
|
|
実際の欠損治療の際には、ブリッジが可能な場合にはブリッジを選択することが比較的多いのですが、ブリッジを用いることができない場合には、治療方法について考えないといけない事柄が多くなります。ブリッジを用いることができない場合とは、大規模な欠損や、欠損歯周辺の歯があまり強くない場合、または周辺の歯を削りたくない場合などです。
入れ歯の要件としては、

という点を大事に考えています。次に、
といったことが求められます。もし、既存の歯への負担が大きすぎることなく要件を満たすことができるならば、インプラント治療の必要性は小さいと考えられます。
保険適用の入れ歯の場合には素材が規定の物に限られてしまいますが、自費の入れ歯の場合にはより要件を追求することができます。

床及び他の装置を鋳造金属で作成することで、違和感の減少・強度と清掃性の向上・熱の伝導により食物の味を感じやすい・複雑な設計が可能になる、といったことが期待できます。
| 金属床義歯 120,000円~(税別) | |
|---|---|
| 【内訳】 | |
| 金属床義歯 基本料金 | 50,000円 |
| +装置料 | 30,000円 ~ 100,000円/個数 |
| +欠損歯料 | 10,000円/本 |
| +遊離端加算 | 15,000円(上顎)・30,000円(下顎)/個数 |
※『遊離端』とは、義歯の最も奥の部分が、天然歯ではなく義歯になっている状態のことです

歯根に磁石の装置を組み込み、入れ歯を維持します。歯根への負担は少なく、基本的に留め金はありません。
| マグネット等アタッチメント義歯 210,000円~(税別) | |
|---|---|
| 【内訳】 | |
| 金属床義歯 基本料金 | 50,000円 |
| +装置料 | 30,000円 ~ 100,000円/個数 |
| +欠損歯料 | 10,000円/本 |
| +遊離端加算 | 15,000円(上顎)・30,000円(下顎)/個数 |
| +アタッチメント基本料金 | 50,000円~ |
| +支台装置料 | 50,000円~/本 |

歯に「内冠」を装着し、「外冠」を伴った入れ歯を装着します。残存歯と入れ歯を強固に連結し、入れ歯の動きを効果的に抑制し、非常に合理的な入れ歯にすることができます。基本的に留め金はありません。
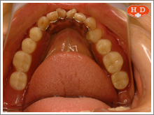
上下の残存歯の位置がすれ違っていて、通常の入れ歯では良好な機能を維持するのが難しい状態です。
コーヌステレスコープ義歯を用いることによって、咬む力を土台の歯全体で受け止め、完成後6年を経ていますが安定しています。
(症例写真は院長の母親です。)
| コーヌステレスコープ義歯 410,000円~(税別) | |
|---|---|
| 【内訳】 | |
| 金属床義歯 基本料金 | 50,000円 |
| +装置料 | 30,000円 ~ 100,000円/個数 |
| +欠損歯料 | 10,000円/本 |
| +遊離端加算 | 15,000円(上顎)・30,000円(下顎)/個数 |
| +コーヌス基本料金 | 150,000円~ |
| +支台装置料 | 100,000円~/本 |
インプラントにもメリット・ディメリットがあるのは確かですが、歯科治療の歴史の上では、『失った歯と同様な形態と機能をもって補填することができる』という意味で、『革命的な治療法』であることは間違いないと思います。
特に、咬合力の負担において残存歯に何ら障害をもたらさないという点は、入れ歯やブリッジでは及びがたい利点になります。
むしろ、周辺の弱っている残存歯を守ることさえ期待できる場合もあります。審美性や清掃性についても、天然歯に準ずる考え方で対応できることが多いです。
一般的に、骨が少ない部分ではインプラント治療は難し目にはなりますが、条件が整っていれば必要な骨を造成して埋入することもできます。
インプラントは全額自費治療になりますので費用はかかりますが、1本の歯の価値は一説には100万円くらいと言われることもあるのを考えれば、その3分の1ほどの費用で元に近い形で補填できるインプラントのコストパフォーマンスは悪くはないと思います。
インプラントは近年になって治療法がかなり確立されて来ていますので、安全・安心を第一優先とすることを前提に、治療の選択肢の一つとしてぜひ考えていただきたいと思います。

手前にインプラントを埋入して、後方の弱い天然歯を支えています。
骨が足りていない場合には、骨を造成します。
入れ歯で作成すると左右に渡る大きな入れ歯になるところを、インプラントで治療しています(上はまだ仮歯です)。
| インプラント治療 総費用350,000円(税別) |
|---|
| 【内訳】 |
| レントゲン撮影 CT撮影 各種型取り・模型作製 テンプレート(手術用のガイド)作製 埋入手術 二次手術 プロビジョナル(仮歯)作製 アバットメント(土台部分。基本は既製品を調整)作製 上部構造(かぶせ物)作製 |
※安全性、機能性、審美性、予後等を考えた、本当にお勧めできる、材料、技法で行います。
当院では、費用は安いけれども、審美性や安全性や機能性に劣る方法では、インプラント治療を行いません。
※複数本のインプラントを一回の手術で埋入する場合には、二本目以降の料金を割引できる場合もあります。
※上部構造は基本的にはセラミック系のかぶせ物(基礎構造+セラミックの表層構造)での製作になりますが、
咬合保全などの要因によって、貴金属冠などで製作する事もあります(前もって相談いたします)。
基本的に料金は変わりません。
| オプション料金 | |
|---|---|
| 骨再生療法 | 80,000円(税別)~ |
| ソケットプリザベーション(抜歯窩保全術) | 50,000円(税別) |
| サイナスリフト(上顎洞挙上術) | 100,000円(税別)~ |
| ソケットリフト(上顎洞部分挙上術) | 40,000円(税別) |
| 歯肉移植療法 | 50,000円(税別)~ |
| 保証 |
|---|
基本的に、インプラント本体は10年間保証致します。定期的に検診に来院していて、故意や事故による破損の場合以外で脱落等が発生した場合には、無償にて再埋入いたします(特殊な事例を除く)。 上部構造については、定期的に検診に来院していて、故意や事故による破損の場合以外、2年以内100%診療所負担、2年以上3年以内80%診療所負担、3年以上4年以内50%診療所負担、4年以上5年以内30%診療所負担にて、再製作または修理いたします(特殊な事例を除く)。貴金属冠の上部構造の場合、5年間100%の保証となります。 また、第一大臼歯か第二大臼歯が単独の上部構造となる場合(連結されてない場合)は、インプラント本体は7年間の保証期間となります。 |
休診日:水曜日、祝日、土日どちらか

平日
10:00~13:00
14:30~19:30
土日
9:30~12:30
14:00~16:30
休診日:水曜日、祝日、土日どちらか

















































